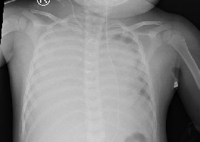
Tuần qua, Bệnh viện Nhi Đồng Thành Phố, tiếp nhận một trường hợp trẻ CB. Ng. T. T. N. 2 tháng tuổi, nam, ngụ ở Thới Lai, Cần Thơ. Bệnh sử ghi nhận trẻ sốt nhẹ...
Chuyên mục : Tai nạn thương tích trẻ em
Tuần qua bệnh viện Nhi đồng Thành phố tiếp nhận trẻ N.V.S. 8 tuổi, nam, cân nặng 26 kg, ngụ ở quận Bình Chánh, Tp.HCM trong tình trạng sốt cao đau bụng. Khai...
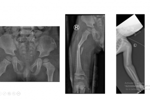
Vừa qua khoa Cấp cứu Bệnh viện Nhi Đồng Thành Phố, tiếp nhận một trường hợp trẻ CB. L. T. N. B.1,5 tháng tuổi, nam, ngụ tại Sóc Trăng, được chuyển đến trong...
Vừa qua bệnh viện Nhi đồng Thành phố tiếp nhận một trẻ L. Q. H, 6 tuổi, nam, ngụ ở Cần Giuộc, Long An với thanh sắt dài khoảng 30cm phần bên ngoài, cắm vào hậu...
Vừa qua khoa cấp cứu bệnh viện Nhi đồng Thành phố, tiếp nhận một trường hợp trẻ Ng. H. T. D., 27 tháng tuổi, nam, cân nặng 12 kg, ngụ tại Tân Phú, TP HCM, được...
Vừa qua khoa cấp cứu bệnh viện Nhi đồng Thành phố, tiếp nhận một trường hợp trẻ C. Th. Ph., 4 tuổi, nam, cân nặng 16 kg, ngụ tại Long An, được chuyển từ bệnh...
Vào những ngày giáp Tết và Tết, thường cha mẹ, các bậc phụ huynh thường bận bịu chuẩn bị đón Tết, trong khi người giúp việc về quê ăn Tết chưa lên lại, nên...
Lúc 23 giờ 40 phút, ngày 30/12/2021, khoa cấp cứu bệnh viện Nhi đồng Thành phố tiếp nhận trẻ L. N. H. 13 tuổi, nam, cân nặng 65kg (bình thường ở tuổi này cận...
Trải qua 51 ngày điều trị tại bệnh viện Nhi đồng Thành phố, trẻ L. M. P. Nam, 15 tuổi, nặng 120kg mắc COVID-19 nặng nguy kịch đã được cứu sống và xuất viện...
Trẻ mắc COVID-19 nhẹ và trung bình trong khoảng 2-4 tuần hết bệnh. Những trường hợp nặng – nguy kịch có thể kéo dài 1-1,5 tháng. Sau khi khỏi bệnh, trẻ vẫn có...


