Lúc 10 giờ 25 phút ngày 14/08/2024, Bệnh viện Nhi Đồng Thành Phố tiếp nhận trẻ Đ. K. V. 8 tuổi, nữ, ngụ ở Tiền Giang. Bệnh sử: Mẹ khai bệnh cách nhập viện 3...
Chuyên mục : Tai nạn thương tích trẻ em
Tuần qua, Bệnh viện Nhi Đồng Thành Phố, tiếp nhận một trường hợp trẻ Ng. N. Th. 15 tuổi, nam ngụ ở Long An. Khai thác bệnh sử ghi nhận trẻ từ dưới quê lên...
Trừ một số loài rắn có nọc độc gọi là rắn độc, còn lại đa số rắn thường không nguy hiểm gọi là rắn lành. Điều cần thiết là phải nhận dạng loại rắn đó là rắn gì...
Tai nạn ngạt nước hay đuối nước thường gặp ở nước ta do hệ thống sông ngòi, kênh rạch chằng chịch, đặt biệt ở vùng đồng bằng song Cửu Long. Để phòng ngừa và xử...
Vừa qua, Bệnh viện Nhi Đồng Thành Phố tiếp nhận một trường hợp trẻ V. Q. N. Y. 7 tuổi, nữ, cân nặng 27kg, ngụ tại Hàm Tân, Bình Thuận. Khai thác bệnh sử ghi...
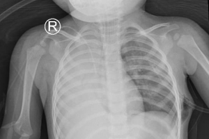
Cứu sống một trường hợp trẻ dị dạng bẩm sinh phế quản gốc bên phải xuất phát bất thường từ thực quản
Vừa qua Bệnh viện Nhi Đồng Thành Phố tiếp nhận trẻ Ng. Kh. H. 3 tháng tuổi, nữ, ngụ ở Bình Chánh, TP. Hồ Chí Minh. Khai thác bệnh sử trẻ bệnh 1 tuần, khởi phát...
Vừa qua Bệnh viện Nhi Đồng Thành Phố tiếp nhận một trường hợp trẻ S. T. T. N. 15 tháng, nữ, ngụ ở Sóc Trăng. Khai thác bệnh sử: trước nhập viện một ngày trẻ...
Vừa qua Bệnh viện Nhi Đồng Thành Phố tiếp nhận một trường hợp trẻ N. T. T. Th. 11 tuổi, nữ, ngụ ở Cần Đước, Long An. Khai thác bệnh sử: Bệnh 1 ngày: người nhà...
Vừa qua Bệnh viện Nhi Đồng Thành Phố tiếp nhận trẻ Tr. L. T. Ng. 13 tuổi, nữ, ngụ ở quận Bình Tân, TP. HCM. Khai thác bệnh sử: trẻ bệnh 2 ngày, N1: trẻ đau...
Vừa qua Bệnh viện Nhi Đồng Thành Phố tiếp nhận một trẻ B. V. T. 13 tuổi, nam, ngụ ở quận Bình Tân, TP Hồ Chí Minh. Bệnh sử ghi nhận ngày 1: em đột ngột ói máu...


