Vừa qua Bệnh viện Nhi Đồng Thành Phố tiếp nhận một trường hợp trẻ V. T. KH. 7 tuổi, nam, ngụ ở Đồng Tháp. Khai thác bệnh sử ghi nhận cùng ngày nhập viện, trẻ...
Chuyên mục : Tai nạn thương tích trẻ em
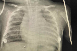
Vừa qua Bệnh viện Nhi Đồng Thành Phố tiếp nhận một trường hợp trẻ sơ sinh CB. N. L. T. V. 29 ngày tuổi, nữ, ngụ ở Tiền Giang. Khai thác bệnh sử ghi nhận trẻ...
Vừa qua Bệnh viện Nhi Đồng Thành Phố tiếp nhận một trẻ N. V. Q. N. 4 tháng tuổi, nữ, ngụ ở Bình Thuận, Khai thác bệnh sử ghi nhận trẻ bệnh khoảng 1 ngày, sốt...
Vừa qua Bệnh viện Nhi Đồng Thành Phố cứu sống 1 trường hợp đa chất thương nặng nhờ áp dụng qui trình báo động đỏ. Đó là trẻ M. T. H. 13 tuổi, nam, ngụ ở Bình...
Vừa qua, Khoa Cấp cứu hồi sức Bệnh viện Nhi Đồng Thành Phố tiếp nhận 1 truờng hợp trẻ ngụ tại Thanh Bình, Đồng Tháp nhập viện trong tình trạng sốc sốt xuất...
Trước đó, Bệnh viện Nhi Đồng Cần Thơ tiếp nhận bệnh nhân T.N.H., nam, 13 tuổi, nặng 42kg, ngụ tại thành phố Vị Thanh, tỉnh Hậu Giang. Trẻ bệnh 5 ngày. N1-4 sốt...
Vừa qua Bệnh viện Nhi Đồng Thành Phố tiếp nhận trẻ NG. V. V.. 13 tuổi, nam, cân nặng 55 kg, dư cân (ở tuổi này cân nặng khoảng 34-40kg), ngụ ở Bình Thuận, Bệnh...
Vừa qua, bệnh viện Nhi đồng thành phố tiếp nhận một trường hợp trẻ Ng H K A. 6 tháng tuổi, nam, ngụ ở xã tân Quý Tây, Bình Chánh, thành phố Hồ Chí Minh trong...
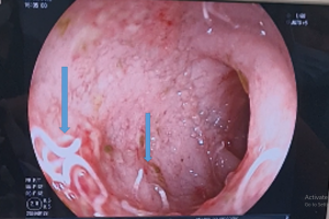
Vừa qua Bệnh viện Nhi Đồng Thành Phố tiếp nhận trẻ D. T. M. Th. nữ, 3 tháng tuổi, ngụ ở Kiên Giang, được bệnh viện địa phương chuyển với chẩn đoán viêm ruột...
Vừa qua, Bệnh viện Nhi Đồng Thành Phố tiếp nhận 4 trường hợp trẻ nhũ nhi dưới 12 tháng bị sốt xuất huyết nặng. Trường đầu tiên là trẻ D. B. N., 8 tháng tuổi...


