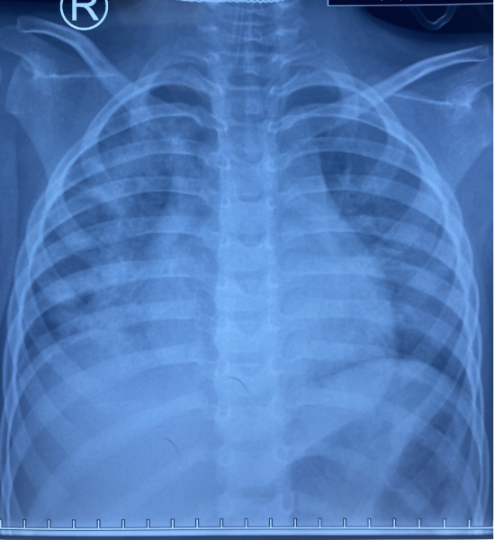
Ngày 20/5/2021 Khoa Cấp cứu Bệnh viện Nhi Đồng Thành Phố tiếp nhận một trường hợp trẻ Ng. D. Th. Q. 4 tuổi, nam, ngụ ở Trà Ôn, Vĩnh Long, được chuyển từ bệnh viện địa phương với chẩn đoán ngạt nước do té ao. Khai thác bệnh sử ghi nhận sáng cùng ngày nhập viện, Q. đang ở chơi trong nhà với mẹ, nhân lúc mẹ bé dọn dẹp nhà cửa không để ý đến, trẻ đi ra trước nhà chơi, không may té xuống ao nước phía trước nhà. Người nhà phát hiện, vớt trẻ lên, xốc nước và đưa trẻ đến bệnh viện địa phương trong tình trạng hôn mê, tím tái thở yếu, co gồng, được các bác sĩ cấp cứu đặt nội khí quản giúp thở, chống co giật, sau đó chuyển đến Bệnh viện Nhi Đồng Thành Phố. Tại đây, ghi nhận trẻ hôn mê, tím tái, co gồng từng cơn, Xquang ngực cho thấy phổi trẻ tổn thương nặng lan tỏa 2 phế trường, nên được xử trí thở máy thông số thích hợp, chống co giật, chống phù não, điều chỉnh nước điện giải, kiềm toan và cho kháng sinh phổ rộng điều trị viêm phổi hít. Hiện tình trạng trẻ còn nặng, được chuyển khoa Hồi sức tích cực điều trị tiếp.

Qua trường hợp này, chúng tôi lưu ý phụ huynh sơ cứu trẻ ngạt nước ngưng thở ngưng tim tại hiện trường, bằng cách ấn tim vùng nửa dưới xương ức xen kẽ thổi ngạt theo tỉ lệ 30 : 2. Nếu có người hỗ trợ thì ấn tim, thổi ngạt theo tỉ lệ 15:2. Các biện pháp dân gian như xốc nước, lăn lu, ấn bụng,…đều không có tác dụng gì mà còn trì hoãn quá trình cấp cứu ngưng thở ngưng tim, dẫn đến tử vong hoặc cứu sống được trẻ nhưng để lại di chứng não nặng nề về sau.

BSCK2. Nguyễn Minh Tiến
Bệnh viện Nhi Đồng Thành Phố


