Vừa qua, bệnh viện Nhi Đồng Thành Phố tiếp nhận một trường hợp trẻ Ng. G. B. 12,5 tháng tuổi, nam, ngụ tại Tây Ninh, trong tình trạng khó thở tím tái.
Bệnh sử ghi nhận cùng ngày nhập viện khoảng 17 giờ trẻ ở trong nhà, chơi với bình dầu hương liệu (dùng để thắp đèn), mở nắp sẵn do người nhà quên đóng, còn khoảng 100ml trong bình, trẻ cầm đưa vào miệng uống gây ho sặc sụa,tím tái, trên áo trẻ dính đầy dầu hương liệu, người nhà phát hiện, lập tức đưa trẻ đến bệnh viện địa phương sơ cứu, chuyển bệnh viện Nhi Đồng Thành Phố.
Tại đây, trẻ biểu hiện khó thở tím tái, thở rút lõm ngực nặng, nhịp tim 180 – 200 lần/phút, được đặt nội khí quản giúp thở, kháng sinh, dịch truyền, điều chỉnh điện giải toan kiềm, an thần, dãn cơ, đặt ống thông dạ dày dẫn lưu hóa chất còn sót lại trong đường tiêu hóa ra ngoài. Kết quả sau 1 tuần điều trị tình trạng trẻ cải thiện dần, được cai máy thở, thở khí trời, tỉnh táo, bú khá.
Qua trường hợp này chúng tôi lưu ý đến quí phụ huynh để thuốc và hóa chất xa tầm với trẻ hoặc cất trong các tủ có khóa, tránh cho trẻ tiếp cận, gây hậu quả đáng tiếc

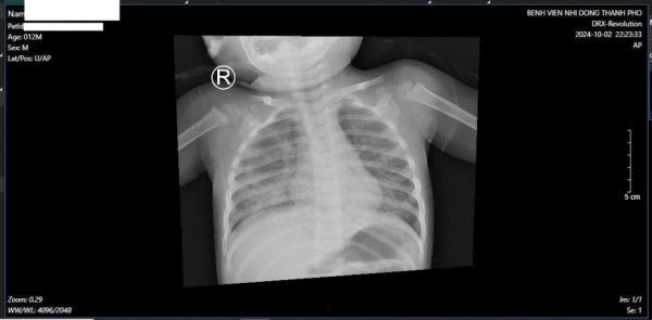
Hình ảnh X quang ngực lúc nhập viện cho thấy tình tổn thương phổi lan tỏa 2 phế trường bên phải nhiều hơn bên trái, gây suy hô hấp nặng


