Bệnh viện Nhi Đồng Thành Phố cứu sống một trường hợp trẻ bị áp xe (tụ mủ) trong lồng ngực

Vừa qua Bệnh viện Nhi Đồng Thành Phố tiếp nhận một trường hợp trẻ Ph. Đ. Kh. 7 tháng tuổi, nam, cân nặng 7 kg, ngụ ở Trà Vinh. Khai thác bệnh sử trẻ bệnh 10 ngày, N1-5 sốt cao, không ho, không khó thở, bú kém, sưng sưng nề vùng hàm lan ra vùng cổ phải, phần trên trước ngực, điều trị bác sĩ tư không bớt nên nhập bệnh viện địa phương, N6-10 nhập bệnh viện địa phương điều trị kháng sinh, tình trạng không bớt, sưng nề tăng dần kích thước, sốt cao, chuyển bệnh viện Nhi Đồng Thành Phố. Tại đây ghi nhận trẻ lừ đừ, sốt 39 độ C, mạch 138 lần/phút, thở 42 lần/phút, sưng nề mềm vùng cổ và trước ngực, siêu âm: áp xe dưới da vùng hàm và thành ngực. CT scan ngực có tiêm thuốc cản quang: ghi nhận khối tổn thương kích thước rất lớn, chủ yếu vùng cổ bên phải, phát triển theo chiều ngang từ mô mỡ dưới da lan vào các khoang sâu (khoang cảnh và khoang mang tai cùng bên), sát cánh thùy phải tuyến giáp, chiều dài bắt đầu từ ngã ba hầu họng, có bọc lan ra phía sau khí – thực quản tạo ổ sát cột sống cổ, (ngang mức C1-5). Ở phía trước tổn thương lan dọc theo nền cổ, cơ ức đòn chủm và bó mạch cảnh bên phải xuống tạo ổ trong lồng ngực,  áp xe trung thất kích thước rất lớn nhiều hạch trung thất nghĩ hoại tử viêm xẹp đáy phổi hai bên, theo dõi có hoại tử bên trong. Xét nghiệm bạch cầu tăng cao 40000/microL, CRP: 100mg chứng tỏ tình trạng nhiễm khuẩn nặng. Trẻ được dùng kháng sinh phổ rộng, hội chẩn các chuyên khoa hô hấp, tiêu hóa, ngoại lồng ngực, tai mũi họng, răng hàm mặt quyết định mổ với tường trình phẫu thuật: rạch da bờ trước cơ ức đòn chum, bộc lộ vỏ bao áp xe, rạch vỏ bao lấy mủ,  nuôi cấy, lấy vỏ bao mô hạch viêm gửi Giải Phẫu bệnh, Ổ áp xe lan rộng vào bó cảnh, bờ trước khí quản tuyến giáp, cạnh bên thực quản, lan xuống trung thất trước, hút mủ, bơm rửa ổ áp xe bằng oxy già pha loãng, povidine pha loãng đặt meche dẫn lưu hốc mủ, đặt dẩn lưu mủ màng phổi phải. Sau phẫu trẻ được chuyển khoa hồi sức ngoại điều trị tiếp. Kết quả sau gần một tháng điều trị tình trạng trẻ cải thiện dần, cai được máy thở, các dẫn lưu không còn ra dịch mủ, được rút bỏ, kiểm tra lâm sàng, chẩn đoán hình ảnh không còn tổn thương ổ mủ, trẻ tỉnh táo bú khá. Chẩn đoán: Áp xe vùng cổ (P) lan ra trước cột sống cổ và trung thất – hậu phẫu rạch apxe lấy mủ + dẫn lưu ổ mủ. Kết quả cấy mủ ra vi khuẩn tụ cầu vàng có tên khoa học là Staphylococcus aureus, loại vi khuẩn gây bệnh rất nặng khi bị nhiễm phải.

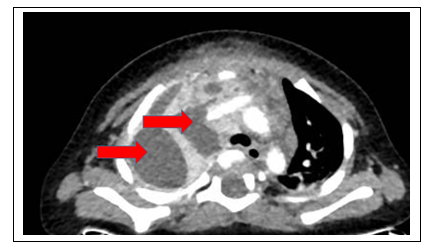
          Hình ảnh: CT scan ngực cho thấy khối áp xe ở trung thất màng phổi phải.

Qua trường hợp này chúng tôi lưu ý quí phụ huynh cẩn thận chăm sóc trẻ chu đáo, đặc biệt chăm sóc rơ miệng trẻ nhỏ cũng như chải răng trẻ, tránh viêm nhiễm vùng hầu họng gây nhiễm trùng mưng mủ, tạo ổ mủ, áp xe lan xuống trung thất, phổi, màng phổi. Nhớ đưa trẻ đi tiêm ngừa đầy đủ theo lịch hẹn.

BSCK2 Nguyễn Minh Tiến
Bệnh viện Nhi Đồng Thành Phố